JZ5U绿色下载站:提供绿色安全好用的手机软件工具、电脑软件资源下载服务!网站地图
本地下载
逗游游戏盒
唧唧Down
冰点下载神器
云上压缩
金山毒霸
Vscode
稿定设计1.3.6
迅雷影音
云之家
元气桌面
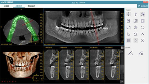
牙医管家口腔管理软件是一款专业的口腔生态云服务系统平台,这里能去为你带来一个更加安全可靠的牙科检测数据的服务中心,这里可以去更好的帮助你轻松会计的安装方式,自动的快捷牙科服务系统,你可以在这里去轻松查看各种后台数据,所有的云端服务可以让你去找到你需要的云平台服务方式,让你更好的管理你的牙科医院。
1.曲线测量的功能。
2.组织滤镜的功能。
3.医生工作量统计,合并日统计与月统计,并增加费用分类统计;
4.优化预约修改后台数据存储(解决数据重复重复写入数据库问题);
5.增加牙医管家一键锁定功能;
6.增加患者与医生关系(患者与医生建立关系);
7.患者界面 – 回访模块 恢复回访增加、修改、删除功能;
8.病历增加全部打印功能(可设置,具有两种打印方式);
9.新增就诊增加VIP标识、患者地址登记(可通过设置来显示是否需要此功能);
10.手机绑定,可通过手机端扫描二维码绑定医生;
11.收费时,允许所有金额作为折扣金额收取。
1.实时完成患者预约,预约时段可以细化到15min,医生排班快速锁定。
2.患者信息录入永久保存,实现本地+云端存储,可以通过电脑、APP、IPD等多种方式实现查询。
3.可根据时间设置患者回访提醒,与电话盒一起使用实现智能电话管理,来电显示详情能呵护到所有患者。
4.收费对账功能省去计算的繁琐过程,费用核算后自动生成,对账日历按月统计收费情况,分类精确到每日,收费、欠费、预交、流水情况均有详细的表格记录,根据时间等精确查找。
5.自定义打印模板,提供规范化的医疗票据打印支持内置标准模板与自定义设置两种格式。
6.智能库房系统,会思考的后勤机器人,连锁店库存查询,及时调整供需,提高口腔诊所办公效率、库存盘点、低量报警功能能合理的保证生产供应的同时,压缩库存资金。
7.数字化影像处理专家,适配各类影像硬件,图像实时查看调用患者信息。
8.为口腔诊所提供个性化科学运营方案及营销方案。
9.DSD美学设计 高效突破成交瓶颈,自动智能,操作人性化。自动弹出参考框、线等,微调操作,快速选定,调用模板,牙形、贴面自动替换效果对比直观,微信分享更便捷、医患沟通更高效。
云端备份,安全无忧
安全系数全面升级,远离意外断电、电脑损坏与数据 丢失,诊所数据云端备份,自动同步,轻松找回,资 料加密不外泄,安全无忧。
跨平台同步 多终端访问
手机电脑轻松同步,一网打尽桌面电脑、Android& iphone系统,随时预约,多平台实时同步,实现轻松 掌握口腔诊所业务情况
天生网络版,零成本
零费用牙医管家包含自动组网模块,零成本、零费用,让您 轻松部署网络版
智能化安装 自动升级
一键安装,快捷简单,基于云技术的自动升级,让您 同步体验产品最新功能。
Turbo Studio
OneKey Ghost
ramdisk
WinNTSetup
PreventTurnOff
电脑应用软件大全包含了许多不同种类的应用软件,无论是工作、生活、出行、居家都能为你带来更多不同的需求软件,你可以非常方便的在这里去找到你需要的软件类型,让你的电脑使用感受更加轻松。
未来软件管家
小白兔记账
鹦鹉记账
今日头条
智星熊
exe文件修改器
腾讯软件商店
book collector
ADBDriver
如何简单的对于自己的系统进行管理,这时候你就需要不错的系统管理软件来对你进行辅助,那么你知道系统管理软件有哪些,为此系统屋为你打造了系统管理软件大全,从而让你可以找到适合自己使用的系统管理辅助工具,使其更好的对于自己的电脑进行管理!
老毛桃winpe
火绒
分区助手
OldNewExplorer
好助手关机小程序
JetClean
AlleyWind
Vuze Leap
Webmin
幼教盒子
邪书生隐私管家
金山毒霸青春版
7-Zip压缩
金舟压缩宝
飞连
弹窗杀手
可牛看图
腾讯课堂
系统软件/68.02M
图怪兽
系统软件/55.6M
咪咕音乐
系统软件/10.53M
美图看看
系统软件/4.25M
uc浏览器
系统软件/46.54M
海螺桌面
系统软件/15.98M
360云盘
系统软件/34.02M
企鹅fm
系统软件/21.02M
行业软件中文
安全软件中文
常用工具中文
图形图像中文
桌面壁纸中文
智慧水务云平台
系统软件/119.75M
Docus Tree
系统软件/10.69M
FirPE维护系统
系统软件/799.27M
Rolan
系统软件/2.25M
目录树过滤复制器
系统软件/1.24M
UKV杀毒软件
系统软件/16.85M
SlimComputer
系统软件/3.42M
万象网管
系统软件/128.29M
Asoftech Speeder
系统软件/1.64M
闪电搜索
系统软件/3.62M
CopyRight©2005-2026 《JZ5U下载站》www.jz5u.com All Right Reserved 网站地图 沪ICP备2023033288号-9 侵权违规举报邮箱:syw12365#163.com
本站所有软件来自互联网,版权归原著所有。如有侵权,敬请来信告知(syw12365#163.com),我们将及时撤销。
反馈原因
其他原因
牙医管家口腔管理软件
为你带来贴心口腔生态服务管理系统本地下载
软件大小:217.67M逗游游戏盒
唧唧Down
冰点下载神器
云上压缩
金山毒霸
Vscode
稿定设计1.3.6
迅雷影音
云之家
元气桌面
牙医管家口腔管理软件是一款专业的口腔生态云服务系统平台,这里能去为你带来一个更加安全可靠的牙科检测数据的服务中心,这里可以去更好的帮助你轻松会计的安装方式,自动的快捷牙科服务系统,你可以在这里去轻松查看各种后台数据,所有的云端服务可以让你去找到你需要的云平台服务方式,让你更好的管理你的牙科医院。
牙医管家口腔管理软件功能介绍
1.曲线测量的功能。
2.组织滤镜的功能。
3.医生工作量统计,合并日统计与月统计,并增加费用分类统计;
4.优化预约修改后台数据存储(解决数据重复重复写入数据库问题);
5.增加牙医管家一键锁定功能;
6.增加患者与医生关系(患者与医生建立关系);
7.患者界面 – 回访模块 恢复回访增加、修改、删除功能;
8.病历增加全部打印功能(可设置,具有两种打印方式);
9.新增就诊增加VIP标识、患者地址登记(可通过设置来显示是否需要此功能);
10.手机绑定,可通过手机端扫描二维码绑定医生;
11.收费时,允许所有金额作为折扣金额收取。
牙医管家口腔管理软件功能介绍
1.实时完成患者预约,预约时段可以细化到15min,医生排班快速锁定。
2.患者信息录入永久保存,实现本地+云端存储,可以通过电脑、APP、IPD等多种方式实现查询。
3.可根据时间设置患者回访提醒,与电话盒一起使用实现智能电话管理,来电显示详情能呵护到所有患者。
4.收费对账功能省去计算的繁琐过程,费用核算后自动生成,对账日历按月统计收费情况,分类精确到每日,收费、欠费、预交、流水情况均有详细的表格记录,根据时间等精确查找。
5.自定义打印模板,提供规范化的医疗票据打印支持内置标准模板与自定义设置两种格式。
6.智能库房系统,会思考的后勤机器人,连锁店库存查询,及时调整供需,提高口腔诊所办公效率、库存盘点、低量报警功能能合理的保证生产供应的同时,压缩库存资金。
7.数字化影像处理专家,适配各类影像硬件,图像实时查看调用患者信息。
8.为口腔诊所提供个性化科学运营方案及营销方案。
9.DSD美学设计 高效突破成交瓶颈,自动智能,操作人性化。自动弹出参考框、线等,微调操作,快速选定,调用模板,牙形、贴面自动替换效果对比直观,微信分享更便捷、医患沟通更高效。
牙医管家口腔管理软件软件优势
云端备份,安全无忧
安全系数全面升级,远离意外断电、电脑损坏与数据 丢失,诊所数据云端备份,自动同步,轻松找回,资 料加密不外泄,安全无忧。
跨平台同步 多终端访问
手机电脑轻松同步,一网打尽桌面电脑、Android& iphone系统,随时预约,多平台实时同步,实现轻松 掌握口腔诊所业务情况
天生网络版,零成本
零费用牙医管家包含自动组网模块,零成本、零费用,让您 轻松部署网络版
智能化安装 自动升级
一键安装,快捷简单,基于云技术的自动升级,让您 同步体验产品最新功能。
Turbo Studio
免费软件大小:599.47K查看OneKey Ghost
免费软件大小:6.18M查看ramdisk
免费软件大小:7.24K查看WinNTSetup
免费软件大小:3.92M查看PreventTurnOff
免费软件大小:183.3K查看电脑应用软件大全包含了许多不同种类的应用软件,无论是工作、生活、出行、居家都能为你带来更多不同的需求软件,你可以非常方便的在这里去找到你需要的软件类型,让你的电脑使用感受更加轻松。
未来软件管家
26.85M常用工具小白兔记账
6.69M行业软件鹦鹉记账
575K行业软件今日头条
50.86M应用软件智星熊
16.95M应用软件exe文件修改器
536K系统软件腾讯软件商店
45.95M系统软件book collector
33.87M应用软件ADBDriver
9.22M插件驱动如何简单的对于自己的系统进行管理,这时候你就需要不错的系统管理软件来对你进行辅助,那么你知道系统管理软件有哪些,为此系统屋为你打造了系统管理软件大全,从而让你可以找到适合自己使用的系统管理辅助工具,使其更好的对于自己的电脑进行管理!
老毛桃winpe
877.58M系统软件火绒
21M系统软件分区助手
17.6M系统软件OldNewExplorer
1.03M系统软件好助手关机小程序
622.23K系统软件JetClean
10.55M系统软件AlleyWind
117.74K系统软件Vuze Leap
1.7M系统软件Webmin
57.17M系统软件幼教盒子
行业软件邪书生隐私管家
安全软件金山毒霸青春版
安全软件7-Zip压缩
常用工具金舟压缩宝
常用工具飞连
安全软件弹窗杀手
安全软件可牛看图
图形图像腾讯课堂
1腾讯课堂
系统软件/68.02M
详情图怪兽
2图怪兽
系统软件/55.6M
详情咪咕音乐
3咪咕音乐
系统软件/10.53M
详情美图看看
4美图看看
系统软件/4.25M
详情uc浏览器
5uc浏览器
系统软件/46.54M
详情海螺桌面
6海螺桌面
系统软件/15.98M
详情360云盘
7360云盘
系统软件/34.02M
详情企鹅fm
8企鹅fm
系统软件/21.02M
详情行业软件中文
安全软件中文
安全软件中文
常用工具中文
常用工具中文
安全软件中文
安全软件中文
图形图像中文
常用工具中文
桌面壁纸中文
智慧水务云平台
1智慧水务云平台
系统软件/119.75M
详情Docus Tree
2Docus Tree
系统软件/10.69M
详情FirPE维护系统
3FirPE维护系统
系统软件/799.27M
详情Rolan
4Rolan
系统软件/2.25M
详情目录树过滤复制器
5目录树过滤复制器
系统软件/1.24M
详情UKV杀毒软件
6UKV杀毒软件
系统软件/16.85M
详情SlimComputer
7SlimComputer
系统软件/3.42M
详情万象网管
8万象网管
系统软件/128.29M
详情Asoftech Speeder
9Asoftech Speeder
系统软件/1.64M
详情闪电搜索
10闪电搜索
系统软件/3.62M
详情