JZ5U绿色下载站:提供绿色安全好用的手机软件工具、电脑软件资源下载服务!网站地图
本地下载
逗游游戏盒
唧唧Down
冰点下载神器
云上压缩
金山毒霸
Vscode
稿定设计1.3.6
迅雷影音
云之家
元气桌面
mriCroN是一款非常实用的办公应用软件程序,也是专业人士们的办公设备,拥有专业化的性质,具备友好的界面设计,也予以了强大的功能特色,帮助众多的使用者来进行多种图像的分析流程,mriCroN广泛应用于医学界当中,为用户提供了各种便捷式的操作能力,也是医学者的必备办公神器。
1、简单和平易近人的界面
主工具栏包含您可能想要使用的所有组件,如“切换十字线”,“笔工具”或“填充工具”。
2、方便的DICOM查看器
是一种可靠且易于使用的实用程序,从而使您可以在很短的时间内完成分析。
3、加载您的图像并选择查看模式
允许您从“文件”菜单打开需要的文件,将其载入主窗口。
1、下载centos 7版本的脚本
2、进入在脚本所在目录下,输入下载压缩包
3、解压到指定目录
4、等待安装完成,配准环境变量
5、测试安装是否成功
1、启动NPM并打开设计窗口,将出现一个电子表格,选择文件/打开并查看文件
2、描述病变图并命名行为表现指标,选择查看/设计来调出描述窗口。
3、需要计算统计结果,可以通过选择MRIcron的绘图/统计菜单中的项目进行一些统计。
4、NPM现在将计算所要求的测试,它将创建所有患者的重叠图像。
5、然后可以打开生成的统计图,并将它们放在解剖扫描的顶部。
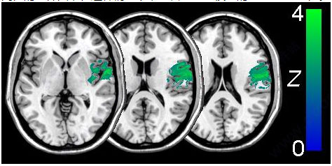
6、接下来,MRIcron显示覆盖图。
7、考虑左侧面板中显示的原始状态图,而中间面板已经被设置为仅显示Z-分数大于2.5的体素、
DevKinsta
Tugeny
红瓦建模大师钢构版
Midas Gen
WPS图片
行业软件推荐为你带来各种专业定制的行业服务软件,无论你是哪行哪业都可以在这里去轻松的得到一个更加优质方便的工具管理,你可以更好的体验到多种不同的热门行业软件的推荐,最优质的专业服务内容非常全面。
图书管理系统
MYSQL
Git
潘通色卡
PPT设计宝典
淘宝推广大师
彩艺印刷管理系统
GrafCet Studio Pro
微v无限投屏
由于因特网在我们的日常生活中发挥着越来越重要的作用,我们经常会遇到一些专业的问题,此时,我们需要专业的软件帮助我们解决问题,无忧下载为您提供最全面的专业软件下载。
book collector
鬼谷云微信助手
优易备忘录
Filenames Lister
Corel Painter
NetWorx
real解码器
幼教盒子
邪书生隐私管家
金山毒霸青春版
7-Zip压缩
金舟压缩宝
飞连
弹窗杀手
可牛看图
腾讯课堂
行业软件/68.02M
图怪兽
行业软件/55.6M
咪咕音乐
行业软件/10.53M
美图看看
行业软件/4.25M
uc浏览器
行业软件/46.54M
海螺桌面
行业软件/15.98M
360云盘
行业软件/34.02M
企鹅fm
行业软件/21.02M
行业软件中文
安全软件中文
常用工具中文
图形图像中文
桌面壁纸中文
万彩骨骼大师
行业软件/92.68M
税控发票开票软件极速版1.2.1.9
行业软件/103.04M
CamStudio
行业软件/11.31M
OrgCharting
行业软件/58.31M
Machining
行业软件/9.75M
核桃编程
行业软件/204.6M
茶桌Chatboard
行业软件/109.87M
泰维关单通
万彩手影大师
行业软件/203.81M
对啊直播课堂
行业软件/57.38M
CopyRight©2005-2026 《JZ5U下载站》www.jz5u.com All Right Reserved 网站地图 沪ICP备2023033288号-9 侵权违规举报邮箱:syw12365#163.com
本站所有软件来自互联网,版权归原著所有。如有侵权,敬请来信告知(syw12365#163.com),我们将及时撤销。
反馈原因
其他原因
mriCroN
为你提供详细的医学分析操作流程本地下载
软件大小:14.32M逗游游戏盒
唧唧Down
冰点下载神器
云上压缩
金山毒霸
Vscode
稿定设计1.3.6
迅雷影音
云之家
元气桌面
mriCroN是一款非常实用的办公应用软件程序,也是专业人士们的办公设备,拥有专业化的性质,具备友好的界面设计,也予以了强大的功能特色,帮助众多的使用者来进行多种图像的分析流程,mriCroN广泛应用于医学界当中,为用户提供了各种便捷式的操作能力,也是医学者的必备办公神器。
mriCroN软件特色
1、简单和平易近人的界面
主工具栏包含您可能想要使用的所有组件,如“切换十字线”,“笔工具”或“填充工具”。
2、方便的DICOM查看器
是一种可靠且易于使用的实用程序,从而使您可以在很短的时间内完成分析。
3、加载您的图像并选择查看模式
允许您从“文件”菜单打开需要的文件,将其载入主窗口。
mriCroN安装步骤
1、下载centos 7版本的脚本
2、进入在脚本所在目录下,输入下载压缩包
3、解压到指定目录
4、等待安装完成,配准环境变量
5、测试安装是否成功
mriCroN使用教程
1、启动NPM并打开设计窗口,将出现一个电子表格,选择文件/打开并查看文件
2、描述病变图并命名行为表现指标,选择查看/设计来调出描述窗口。
3、需要计算统计结果,可以通过选择MRIcron的绘图/统计菜单中的项目进行一些统计。
4、NPM现在将计算所要求的测试,它将创建所有患者的重叠图像。
5、然后可以打开生成的统计图,并将它们放在解剖扫描的顶部。
6、接下来,MRIcron显示覆盖图。
7、考虑左侧面板中显示的原始状态图,而中间面板已经被设置为仅显示Z-分数大于2.5的体素、
DevKinsta
免费软件大小:73.54M查看Tugeny
免费软件大小:16.65M查看红瓦建模大师钢构版
免费软件大小:5.67M查看Midas Gen
免费软件大小:680.47M查看WPS图片
免费软件大小:18.09M查看行业软件推荐为你带来各种专业定制的行业服务软件,无论你是哪行哪业都可以在这里去轻松的得到一个更加优质方便的工具管理,你可以更好的体验到多种不同的热门行业软件的推荐,最优质的专业服务内容非常全面。
图书管理系统
23.87M行业软件MYSQL
5.5M行业软件Git
3.9M行业软件潘通色卡
515K行业软件PPT设计宝典
11.69M行业软件淘宝推广大师
54.71M行业软件彩艺印刷管理系统
8.61M行业软件GrafCet Studio Pro
29.99M行业软件微v无限投屏
24.64M行业软件由于因特网在我们的日常生活中发挥着越来越重要的作用,我们经常会遇到一些专业的问题,此时,我们需要专业的软件帮助我们解决问题,无忧下载为您提供最全面的专业软件下载。
book collector
33.87M应用软件鬼谷云微信助手
114.79M聊天软件彩艺印刷管理系统
8.61M行业软件优易备忘录
1.05M应用软件Filenames Lister
3.15M应用软件Midas Gen
680.47M行业软件Corel Painter
474.31M行业软件NetWorx
5.63M应用软件real解码器
2.16M应用软件幼教盒子
行业软件邪书生隐私管家
安全软件金山毒霸青春版
安全软件7-Zip压缩
常用工具金舟压缩宝
常用工具飞连
安全软件弹窗杀手
安全软件可牛看图
图形图像腾讯课堂
1腾讯课堂
行业软件/68.02M
详情图怪兽
2图怪兽
行业软件/55.6M
详情咪咕音乐
3咪咕音乐
行业软件/10.53M
详情美图看看
4美图看看
行业软件/4.25M
详情uc浏览器
5uc浏览器
行业软件/46.54M
详情海螺桌面
6海螺桌面
行业软件/15.98M
详情360云盘
7360云盘
行业软件/34.02M
详情企鹅fm
8企鹅fm
行业软件/21.02M
详情行业软件中文
安全软件中文
安全软件中文
常用工具中文
常用工具中文
安全软件中文
安全软件中文
图形图像中文
常用工具中文
桌面壁纸中文
万彩骨骼大师
1万彩骨骼大师
行业软件/92.68M
详情税控发票开票软件极速版1.2.1.9
2税控发票开票软件极速版1.2.1.9
行业软件/103.04M
详情CamStudio
3CamStudio
行业软件/11.31M
详情OrgCharting
4OrgCharting
行业软件/58.31M
详情Machining
5Machining
行业软件/9.75M
详情核桃编程
6核桃编程
行业软件/204.6M
详情茶桌Chatboard
7茶桌Chatboard
行业软件/109.87M
详情泰维关单通
8泰维关单通
行业软件/10.53M
详情万彩手影大师
9万彩手影大师
行业软件/203.81M
详情对啊直播课堂
10对啊直播课堂
行业软件/57.38M
详情